Reggio Emilia: tubercolosi a scuola, partiti i controlli
2 Ottobre 2009
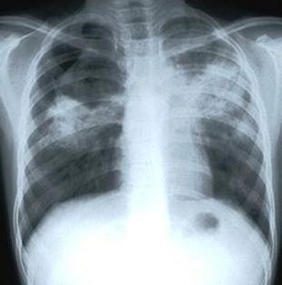
Tubercolosi in Emilia Romagna.
L’AUSL di Reggio Emilia ha infatti individuato un caso di tubercolosi polmonare in un soggetto adulto, venuto a contatto con il personale e gli alunni del’ “Amedeo d’Aosta”, una scuola media
statale. I sintomi della malattia si sono manifestati durante l’estate ma, considerato il lungo periodo d’incubazione, non è da escludere il rischio per chi è venuto a contatto
con il soggetto negli ultimi mesi dello scorso anno scolastico.
In particolare, gli esperti hanno focalizzato la loro attenzione su due classi, le più a rischio d’infezione. Per questo, tra venerdì e lunedì alunni ed insegnanti saranno
sottoposti ad eventuali test di controllo.
La malattia si trasmette attraverso un contatto stretto e prolungato con il malato, in uno spazio chiuso, per molte ore ed e’ curabile attivando una terapia antibiotica specifica per un periodo
idoneo, come previsto dal protocollo terapeutico. Intanto, i sanitari fanno sapere come il soggetto in cura si trovi in buone condizioni di salute.
Matteo Clerici




